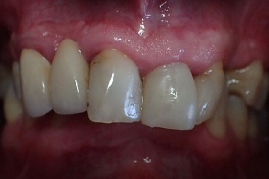
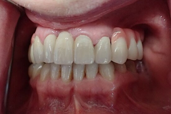
Metamorfozy

Denta Live


Dental Live

Niepubliczny zakład opieki zdrowotnej

ul. Niedziałkowskiego 19/21 lok. 3 26-600 Radom

Godziny otwarcia

pon. - pt. 09:00 - 18:00
sob. 09:00 - 14:00

Obserwuj nas